2009-12-11
通常、当院では木曜日と金曜日の週に2日間をオペ日としています。
(患者様のご都合で、たまに他の曜日に行うこともあるのですが..)
1週間で多くて4件のオペを行っていますが、なぜかよく似た部位の
オペが続くことがあります。
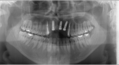
今週もオペを4件行ったのですが、そのうちの2件のオペが、
良く似た前歯に3本のインプラントを埋入するものでした。
決して、同じ部位に同じ本数を埋入するからといって、同じオペと
いうものはなく、昨日(木曜日)の1件は、チタンの網と特殊な膜を用いて
骨を作り、少し鼻腔底にも骨を足して細いインプラントを埋入しました。
また、本日の1件の場合は、特殊な膜のみ用いて骨を作り普通サイズの
インプラントを埋入するものでした。
昨日、オペを行った方には「めちゃくちゃ腫れますよ」と言って
帰っていただいたのですが、今日診察に来ていただいて拝見すると
思ったいたより、全く腫れていませんでしたが、昨日行ったオペの
もう1人方は、下の顎に2本のインプラントを埋入した患者様の方が
腫れていて、とっても以外な感じでした。
年内に、オペの予定がまだ入っているので、頑張って行きたいと思っています。
(もちろん、来年も頑張っていきますが・・・)


walmart generic viagra 100mg price
今週の似たようなオペ
buy ciprofloxacin
今週の似たようなオペ
cialis 20mg
今週の似たようなオペ
naltrexone brand name india
今週の似たようなオペ
chloroquine antiviral
今週の似たようなオペ
ed meds online without doctor prescription
今週の似たようなオペ
buy hydroxychloroquine online
今週の似たようなオペ
cialistodo.com
今週の似たようなオペ
https://keflex.webbfenix.com
今週の似たようなオペ