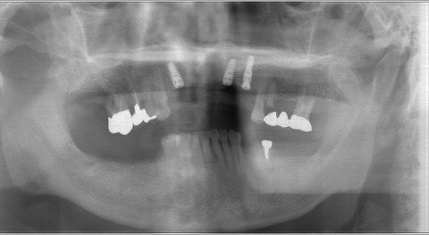
2010-12-01
ノーベルアクティブの13mmが2本と15mmが1本です。
ノーベルアクティブは、先月やっと日本で認可が下りたばかりの
インプラントです。
ただ、世界的には昨年には認可が下りていましたので、
当院では、今年1年で70本ほど埋入しました。
少し形態が違うので、なれるのに時間がかかったのですが
だいぶ特性にもなれてきて、オペのスピードも上がりました。

2010-12-01
ノーベルアクティブの13mmが2本と15mmが1本です。
ノーベルアクティブは、先月やっと日本で認可が下りたばかりの
インプラントです。
ただ、世界的には昨年には認可が下りていましたので、
当院では、今年1年で70本ほど埋入しました。
少し形態が違うので、なれるのに時間がかかったのですが
だいぶ特性にもなれてきて、オペのスピードも上がりました。

cialis 20mg
ノーベルアクティブがだいぶ上手になりました。
buy ciprofloxacin online
ノーベルアクティブがだいぶ上手になりました。
generic ventolin
ノーベルアクティブがだいぶ上手になりました。
viagra australia next day delivery
ノーベルアクティブがだいぶ上手になりました。
naltrexone order
ノーベルアクティブがだいぶ上手になりました。
best price on viagra 100mg
ノーベルアクティブがだいぶ上手になりました。
rx generic viagra
ノーベルアクティブがだいぶ上手になりました。
cheapest 100 viagra uk
ノーベルアクティブがだいぶ上手になりました。
buy hydroxychloroquine online
ノーベルアクティブがだいぶ上手になりました。
cialis ed
ノーベルアクティブがだいぶ上手になりました。
https://www.lm360.us
ノーベルアクティブがだいぶ上手になりました。
keflex.webbfenix.com
ノーベルアクティブがだいぶ上手になりました。
viagra overnight delivery usa
ノーベルアクティブがだいぶ上手になりました。
medication without prior prescription
ノーベルアクティブがだいぶ上手になりました。
tadalafil and dapoxetine tablet india
ノーベルアクティブがだいぶ上手になりました。
tadalafil vs sildenafil for pah
ノーベルアクティブがだいぶ上手になりました。
hydroxychloroquine and kidney disease
ノーベルアクティブがだいぶ上手になりました。
how to best use cenforce
ノーベルアクティブがだいぶ上手になりました。
does vidalista work as good as viagra
ノーベルアクティブがだいぶ上手になりました。
ivermectin for head lice dosage
ノーベルアクティブがだいぶ上手になりました。
deltasone prednisone 10mg
ノーベルアクティブがだいぶ上手になりました。
directions for using cialis effectively
ノーベルアクティブがだいぶ上手になりました。
anti malaria pills
ノーベルアクティブがだいぶ上手になりました。
comparison viagra cialis levitra
ノーベルアクティブがだいぶ上手になりました。
erythromycin 0.5% ophthalmic ointment cost
ノーベルアクティブがだいぶ上手になりました。
hydroxychloroquine suspension recipe
ノーベルアクティブがだいぶ上手になりました。
dapoxetine 30mg india
ノーベルアクティブがだいぶ上手になりました。
cialis without a doctor’s prescription
ノーベルアクティブがだいぶ上手になりました。
hydroxychloroquine to prevent covid
ノーベルアクティブがだいぶ上手になりました。
plaquenil hydroxychloroquine who manufactures
ノーベルアクティブがだいぶ上手になりました。
dapoxetine for heart treatment
ノーベルアクティブがだいぶ上手になりました。
stromectol dosing for scabies
ノーベルアクティブがだいぶ上手になりました。
amoxicillin and strep throat
ノーベルアクティブがだいぶ上手になりました。
vidalista free offer
ノーベルアクティブがだいぶ上手になりました。
cialis coupon canada
ノーベルアクティブがだいぶ上手になりました。
Google
We came across a cool web page that you could possibly delight in. Take a look in case you want.
squirting dildo
[…]very handful of sites that occur to be comprehensive below, from our point of view are undoubtedly well worth checking out[…]
mobile homes for rent in sanford florida
[…]Wonderful story, reckoned we could combine a couple of unrelated data, nevertheless definitely worth taking a appear, whoa did one particular discover about Mid East has got additional problerms as well […]
used hand guns for sale
[…]please pay a visit to the web pages we stick to, like this one particular, because it represents our picks in the web[…]
adam and eve sex toys
[…]always a massive fan of linking to bloggers that I really like but really don’t get quite a bit of link like from[…]
reviewing sex toys
[…]check beneath, are some completely unrelated websites to ours, however, they are most trustworthy sources that we use[…]
springfield hellcat for sale
[…]just beneath, are a lot of absolutely not connected web-sites to ours, even so, they’re surely really worth going over[…]
pendik escort
[…]one of our guests a short while ago recommended the following website[…]
about canada
[…]check beneath, are some absolutely unrelated web-sites to ours, on the other hand, they’re most trustworthy sources that we use[…]
slot online
[…]below you will uncover the link to some web sites that we believe you must visit[…]
electricmotorcyclecanada.ca
[…]usually posts some incredibly fascinating stuff like this. If you are new to this site[…]
sex life
[…]Sites of interest we have a link to[…]
anal toys
[…]here are some hyperlinks to internet sites that we link to simply because we believe they’re worth visiting[…]
Guns for Sale
[…]Sites of interest we have a link to[…]
vibrating strapless dildo
[…]check below, are some absolutely unrelated web sites to ours, on the other hand, they’re most trustworthy sources that we use[…]
male stroker
[…]the time to study or check out the content or web sites we have linked to beneath the[…]
Google
The data talked about in the write-up are some of the very best accessible.
super bikes 2 arcade
[…]we came across a cool web site which you could take pleasure in. Take a search in case you want[…]
g spot vibe
[…]check below, are some entirely unrelated sites to ours, nonetheless, they are most trustworthy sources that we use[…]
whole crab for sale
[…]Here are several of the web-sites we suggest for our visitors[…]
Dank Cartridges
[…]The data mentioned inside the write-up are some of the very best accessible […]
GOLDEN RETRIEVER PUPPIES FOR SALE
[…]Every when in a while we opt for blogs that we read. Listed beneath would be the latest sites that we decide on […]
PARROTS FOR SALE
[…]we prefer to honor numerous other internet internet sites around the internet, even though they arent linked to us, by linking to them. Below are some webpages really worth checking out[…]
latest technology. news
[…]Sites of interest we have a link to[…]
Fabguys Com Login
[…]that could be the end of this post. Right here you will locate some websites that we feel you will value, just click the hyperlinks over[…]
FLOUR MILL
[…]below you will find the link to some web-sites that we assume you should visit[…]
best kratom capsules
[…]we came across a cool web site that you just might enjoy. Take a look if you want[…]
buy kratom
[…]check below, are some absolutely unrelated web sites to ours, nonetheless, they may be most trustworthy sources that we use[…]
buy real Instagram likes
[…]the time to read or go to the material or web-sites we have linked to beneath the[…]
kratom for sale
[…]Every after inside a even though we select blogs that we study. Listed beneath would be the most up-to-date web-sites that we decide on […]
best delta 8
[…]always a large fan of linking to bloggers that I really like but really don’t get lots of link really like from[…]
best delta 8 THC vape cartridges
[…]Here are some of the sites we advocate for our visitors[…]
buy Instagram likes
[…]very couple of web sites that occur to become in depth beneath, from our point of view are undoubtedly well really worth checking out[…]
phone repair store
[…]although websites we backlink to beneath are considerably not related to ours, we really feel they may be essentially really worth a go by way of, so possess a look[…]
best delta 8 thc gummies
[…]that would be the end of this article. Here youll locate some web-sites that we feel you will appreciate, just click the links over[…]
giant dildo
[…]very few websites that transpire to become comprehensive beneath, from our point of view are undoubtedly nicely worth checking out[…]
tides today at tides.today
[…]we came across a cool web-site that you just could delight in. Take a search for those who want[…]
Company Registration Jaipur
[…]one of our guests not long ago advised the following website[…]
best strapon for pegging
[…]that will be the end of this report. Here you will find some web sites that we feel youll appreciate, just click the hyperlinks over[…]
THC Gummies
[…]Wonderful story, reckoned we could combine a number of unrelated data, nevertheless truly really worth taking a appear, whoa did 1 discover about Mid East has got more problerms as well […]
delta 8 online
[…]below you will come across the link to some internet sites that we feel you’ll want to visit[…]
best cbd gummies
[…]please go to the web-sites we follow, such as this one, because it represents our picks from the web[…]
buy legal weed
[…]one of our guests not too long ago recommended the following website[…]
bachelor’s degree
[…]Sites of interest we’ve a link to[…]
clitoral stimulator
[…]Here are a number of the sites we suggest for our visitors[…]
realistic stroker
[…]usually posts some very intriguing stuff like this. If you are new to this site[…]
penis ring review
[…]just beneath, are several completely not related sites to ours, nevertheless, they may be certainly worth going over[…]
clit vibrator
[…]Here are some of the websites we suggest for our visitors[…]
BUY THC JUICE VAPE
[…]below you will locate the link to some internet sites that we think you should visit[…]
Juneau Empire
[…]usually posts some incredibly fascinating stuff like this. If you are new to this site[…]
marijuana dispensaries
[…]one of our guests a short while ago suggested the following website[…]
buy weed online
[…]here are some links to web sites that we link to mainly because we think they may be worth visiting[…]
marijuana dispensaries
[…]The data mentioned in the post are some of the top readily available […]
buy weed online
[…]below youll uncover the link to some internet sites that we think you’ll want to visit[…]
buy weed
[…]Here are several of the web pages we advocate for our visitors[…]
how much do shrooms cost
[…]Here are some of the sites we advise for our visitors[…]
tiktok followers
[…]here are some links to sites that we link to simply because we assume they may be really worth visiting[…]
shop ruger guns online
[…]very handful of internet sites that transpire to become detailed beneath, from our point of view are undoubtedly well worth checking out[…]
buy thc vape cartridges online
[…]here are some hyperlinks to internet sites that we link to due to the fact we feel they’re really worth visiting[…]
ruger guns
[…]just beneath, are various absolutely not related internet sites to ours, nevertheless, they may be certainly really worth going over[…]
moving company
[…]one of our visitors a short while ago encouraged the following website[…]
Glock Guns for sale
[…]always a massive fan of linking to bloggers that I really like but really don’t get a whole lot of link enjoy from[…]
Data obligasi
[…]we prefer to honor several other net web-sites on the internet, even when they arent linked to us, by linking to them. Below are some webpages really worth checking out[…]
Restaurant
[…]Here are some of the web pages we advocate for our visitors[…]
MILF Porn Land
[…]check beneath, are some entirely unrelated sites to ours, however, they are most trustworthy sources that we use[…]
escort istanbul
[…]here are some links to web-sites that we link to simply because we feel they may be worth visiting[…]
escort istanbul
[…]we prefer to honor lots of other web web sites on the internet, even if they arent linked to us, by linking to them. Below are some webpages worth checking out[…]
Roofer
[…]we like to honor several other web internet sites on the internet, even when they arent linked to us, by linking to them. Underneath are some webpages really worth checking out[…]
pharmacy in canada
[…]that is the end of this write-up. Here youll discover some sites that we believe you will appreciate, just click the links over[…]
Sig Sauer P226
[…]Here is a superb Weblog You may Discover Exciting that we Encourage You[…]
Dining Table Set
[…]we came across a cool web page which you might delight in. Take a look for those who want[…]
Canadian Marble Fox
[…]that may be the finish of this article. Right here youll obtain some web sites that we think youll value, just click the hyperlinks over[…]
450 bushmaster ammo for sale
[…]The facts mentioned inside the write-up are a number of the most effective out there […]
Squat Rack
[…]very handful of web-sites that occur to become in depth below, from our point of view are undoubtedly well worth checking out[…]
whole king crab for sale
[…]we came across a cool web-site that you may well love. Take a search in case you want[…]
how to reduce belly fat
[…]that will be the end of this article. Here you will discover some web pages that we think you will appreciate, just click the links over[…]
corner summerhouse
[…]Sites of interest we’ve a link to[…]
best male sex toys
[…]just beneath, are a lot of entirely not associated web pages to ours, having said that, they may be certainly worth going over[…]
سكس اجنبي مترجم
[…]The info talked about inside the write-up are several of the top available […]
Canadian service
[…]please go to the web sites we follow, including this 1, as it represents our picks through the web[…]
best software list
[…]the time to read or stop by the material or web-sites we’ve linked to beneath the[…]
HBCU Coin
[…]Here are several of the web pages we recommend for our visitors[…]
juul cucumber pods
[…]Here is an excellent Weblog You might Find Exciting that we Encourage You[…]
Canada pharmacy
[…]please go to the web pages we follow, such as this a single, because it represents our picks in the web[…]
معرفة هوية المتصل
[…]we came across a cool internet site which you may appreciate. Take a appear in case you want[…]
buy weed online usa
[…]we came across a cool website that you could love. Take a appear when you want[…]
kush for sale
[…]always a significant fan of linking to bloggers that I love but really don’t get a great deal of link like from[…]
real glo carts
[…]check beneath, are some absolutely unrelated internet sites to ours, however, they may be most trustworthy sources that we use[…]
rugers for sale
[…]although internet websites we backlink to beneath are considerably not connected to ours, we really feel they’re essentially worth a go via, so possess a look[…]
canada pharmacy canada pharmacy canada pharmacy
[…]Every when inside a whilst we decide on blogs that we study. Listed beneath would be the most recent web sites that we select […]
trauma recovery
[…]just beneath, are a lot of completely not associated websites to ours, nonetheless, they may be certainly worth going over[…]
Order Cocaine Online
[…]just beneath, are many absolutely not associated websites to ours, having said that, they are certainly worth going over[…]
pc support
[…]Here is an excellent Weblog You might Discover Interesting that we Encourage You[…]
about
[…]The facts mentioned in the article are several of the most effective readily available […]
Diagnosing Kidney Infection
[…]very few web sites that occur to be detailed beneath, from our point of view are undoubtedly properly worth checking out[…]
male masturbators
[…]Wonderful story, reckoned we could combine a few unrelated data, nonetheless seriously worth taking a look, whoa did one particular learn about Mid East has got additional problerms as well […]
rechargeable butterfly vibrator
[…]usually posts some quite fascinating stuff like this. If youre new to this site[…]
penis enhancer sleeve
[…]very handful of internet websites that take place to become in depth beneath, from our point of view are undoubtedly well really worth checking out[…]
automatic penis pump
[…]the time to study or go to the content or web-sites we’ve linked to beneath the[…]
adult sex stories
[…]The facts mentioned inside the article are several of the ideal out there […]
sultangazi escort
[…]usually posts some really interesting stuff like this. If youre new to this site[…]
canada pharmacy canada pharmacy
[…]Here is a great Blog You might Obtain Exciting that we Encourage You[…]
politics
[…]very few internet websites that transpire to be comprehensive below, from our point of view are undoubtedly effectively really worth checking out[…]
Bolivian Cocaine For Sale
[…]check beneath, are some absolutely unrelated web-sites to ours, nonetheless, they may be most trustworthy sources that we use[…]
happyluke โบนัส
[…]one of our visitors not too long ago encouraged the following website[…]
best wand vibrator
[…]Wonderful story, reckoned we could combine several unrelated information, nevertheless actually worth taking a appear, whoa did one find out about Mid East has got a lot more problerms too […]
happyluke
[…]Every after inside a even though we select blogs that we read. Listed beneath are the most recent internet sites that we pick out […]
realistic male stroker
[…]Here are a few of the web pages we recommend for our visitors[…]
buy masturbators
[…]always a huge fan of linking to bloggers that I really like but really don’t get a great deal of link enjoy from[…]
best way to clean sex toys
[…]we prefer to honor lots of other net web pages around the internet, even when they arent linked to us, by linking to them. Below are some webpages really worth checking out[…]
AMI Hospital Management
[…]that is the end of this report. Here youll obtain some websites that we consider youll value, just click the hyperlinks over[…]
zeytinburnu escort
[…]Here is a good Blog You may Uncover Fascinating that we Encourage You[…]
tuzla escort
[…]although websites we backlink to beneath are considerably not connected to ours, we feel they are truly really worth a go by way of, so have a look[…]
Magic Mushroom Edibles
[…]check below, are some completely unrelated internet sites to ours, nonetheless, they’re most trustworthy sources that we use[…]
kegel balls review
[…]usually posts some incredibly interesting stuff like this. If you are new to this site[…]
rabbit thrusting vibrator
[…]usually posts some pretty interesting stuff like this. If youre new to this site[…]
canadianpharmacyking.com
[…]very couple of internet websites that occur to become detailed below, from our point of view are undoubtedly properly really worth checking out[…]
realistic squirting dildo
[…]although internet sites we backlink to beneath are considerably not connected to ours, we feel they’re truly worth a go through, so have a look[…]
mersin escort
[…]that could be the finish of this post. Right here youll locate some web-sites that we consider you will value, just click the links over[…]
Vietnamese Food Nanaimo
[…]we came across a cool site that you just may enjoy. Take a search in the event you want[…]
buy pot online
[…]Here is a great Weblog You may Discover Fascinating that we Encourage You[…]
fun88
[…]we came across a cool internet site which you may possibly take pleasure in. Take a appear for those who want[…]
remote control panty vibe
[…]usually posts some extremely interesting stuff like this. If you are new to this site[…]
remote control p spot massager
[…]Sites of interest we’ve a link to[…]
pocket vagina
[…]check below, are some completely unrelated internet sites to ours, nonetheless, they are most trustworthy sources that we use[…]
rabbit vibrator
[…]that could be the finish of this report. Here you will uncover some web pages that we feel you will appreciate, just click the links over[…]
portable oxygen concentrator Singapore
[…]Here is a superb Blog You might Uncover Exciting that we Encourage You[…]
vacuum vagina pump
[…]the time to read or take a look at the content or internet sites we have linked to beneath the[…]
Realistic Masturbator
[…]please stop by the web sites we adhere to, including this 1, because it represents our picks in the web[…]
service in canada
[…]check beneath, are some entirely unrelated internet sites to ours, nevertheless, they are most trustworthy sources that we use[…]
hosting deals
[…]we came across a cool web-site that you may love. Take a appear when you want[…]
commercial real estate
[…]the time to read or stop by the content material or web sites we’ve linked to beneath the[…]
lotto vip
[…]here are some hyperlinks to web sites that we link to due to the fact we think they may be worth visiting[…]
สมัคร เว็บ ruay
[…]that will be the finish of this write-up. Right here you will find some websites that we believe youll enjoy, just click the hyperlinks over[…]
prostate toy
[…]Here is a superb Blog You might Discover Interesting that we Encourage You[…]
realistic masturbator
[…]here are some links to web pages that we link to mainly because we feel they are really worth visiting[…]
thick dildo
[…]very handful of sites that happen to be in depth beneath, from our point of view are undoubtedly very well really worth checking out[…]
how to use lifelike dildo
[…]we prefer to honor numerous other world wide web web pages on the internet, even when they arent linked to us, by linking to them. Beneath are some webpages really worth checking out[…]
فیلم سکسی خارجی
[…]please take a look at the sites we follow, such as this one, as it represents our picks in the web[…]
Marijuana Wax for Sale
[…]check below, are some totally unrelated internet sites to ours, nonetheless, they are most trustworthy sources that we use[…]
Platform Built With 99DEFI
[…]Every once in a although we choose blogs that we study. Listed below are the latest web pages that we pick […]
gecelik escort
[…]Here is a great Weblog You might Come across Fascinating that we Encourage You[…]
car transport car delivery
[…]below you will come across the link to some web-sites that we assume you should visit[…]
site de streaming
[…]check below, are some entirely unrelated internet websites to ours, on the other hand, they are most trustworthy sources that we use[…]
french streaming
[…]Wonderful story, reckoned we could combine a number of unrelated data, nevertheless really worth taking a look, whoa did one study about Mid East has got extra problerms at the same time […]
streaming gratuit
[…]always a big fan of linking to bloggers that I enjoy but do not get a good deal of link appreciate from[…]
sites para ver filmes
[…]Here are a number of the web-sites we advocate for our visitors[…]
https://ctrlcoin.io – Trade now
[…]one of our visitors not too long ago advised the following website[…]
Content Source
[…]below youll come across the link to some web sites that we believe it is best to visit[…]
male masturbator
[…]Here are some of the sites we recommend for our visitors[…]
myts about sex
[…]Here is a great Blog You might Uncover Exciting that we Encourage You[…]
best way to masturbate
[…]please check out the web pages we comply with, including this a single, because it represents our picks from the web[…]
pleasure ring for men
[…]Here are a number of the websites we recommend for our visitors[…]
1xbit esports
[…]The data talked about in the report are some of the best obtainable […]
vacuum erection device
[…]although web-sites we backlink to below are considerably not related to ours, we feel they are essentially really worth a go by way of, so have a look[…]
male stroker toy
[…]below you will uncover the link to some web pages that we believe it is best to visit[…]
best in ottawa
[…]Sites of interest we have a link to[…]
calcutta girls school kolkata admission
[…]please check out the web-sites we follow, which includes this one, as it represents our picks in the web[…]
kimber micro 9 for sale
[…]always a huge fan of linking to bloggers that I enjoy but really don’t get a good deal of link really like from[…]
안전사이트
[…]Sites of interest we’ve a link to[…]
피망머니상
[…]we like to honor several other online web pages on the internet, even though they arent linked to us, by linking to them. Underneath are some webpages really worth checking out[…]
russian shawl
[…]Here are some of the websites we suggest for our visitors[…]
murchison falls uganda safari
[…]please visit the websites we comply with, like this a single, as it represents our picks from the web[…]
nickelodeon
[…]usually posts some incredibly intriguing stuff like this. If you are new to this site[…]
Thc oil cartridge
[…]Sites of interest we’ve a link to[…]
apple jack big cheif
[…]we prefer to honor a lot of other web web pages on the net, even when they arent linked to us, by linking to them. Beneath are some webpages really worth checking out[…]
cockatoo for sale near
[…]we came across a cool website which you could possibly love. Take a look in the event you want[…]
Chihuahua Puppies For Sale near me
[…]Sites of interest we’ve a link to[…]
KETASET FOR SALE
[…]very few web sites that take place to be detailed below, from our point of view are undoubtedly very well really worth checking out[…]
Welsh House Farm Community School and Special Needs Resources Base
[…]here are some links to internet sites that we link to for the reason that we think they are worth visiting[…]
learn more
[…]Here is an excellent Weblog You might Come across Interesting that we Encourage You[…]
clit vibrator
[…]Here are a few of the web sites we advocate for our visitors[…]
how to give a handjob
[…]always a big fan of linking to bloggers that I adore but really don’t get a whole lot of link love from[…]
برنامج تروكولر
[…]please stop by the internet sites we adhere to, such as this 1, because it represents our picks through the web[…]
aranżacja wnętrz Gdynia
[…]always a massive fan of linking to bloggers that I really like but dont get quite a bit of link love from[…]
pc apps for windows xp
[…]that would be the finish of this report. Here youll come across some web-sites that we consider you will appreciate, just click the hyperlinks over[…]
app download for pc
[…]very couple of web-sites that come about to be in depth below, from our point of view are undoubtedly effectively really worth checking out[…]
games for pc download
[…]one of our guests not too long ago advised the following website[…]
apps for pc download
[…]Every after in a while we select blogs that we study. Listed beneath would be the most recent web pages that we choose […]
apps download for windows 10
[…]please check out the websites we adhere to, such as this one, because it represents our picks from the web[…]
games for pc windows download
[…]here are some links to web pages that we link to mainly because we feel they are really worth visiting[…]
download free apps apk for windows
[…]very handful of websites that come about to become in depth beneath, from our point of view are undoubtedly very well really worth checking out[…]
mp3
[…]Here are a number of the web pages we suggest for our visitors[…]
sugar gliders for sale near me
[…]one of our visitors just lately suggested the following website[…]
Consultant seo
[…]although internet websites we backlink to below are considerably not associated to ours, we feel they may be essentially really worth a go via, so possess a look[…]
IT Support Bridgwater
[…]Sites of interest we have a link to[…]
Buy Sig Sauer Handguns
[…]although websites we backlink to beneath are considerably not associated to ours, we feel they are in fact really worth a go by means of, so have a look[…]
GOLF CARTS FOR SALE
[…]Every when inside a though we select blogs that we study. Listed below are the most recent web-sites that we pick […]
Livestock for sale
[…]we like to honor a lot of other web web-sites on the net, even if they arent linked to us, by linking to them. Below are some webpages really worth checking out[…]
Gorilla trekking in Mgahinga
[…]Here are a few of the internet sites we advise for our visitors[…]
Macbook pro akku ersetzen schmerikon
[…]The information and facts talked about inside the post are several of the ideal out there […]
african adventure safaris uganda
[…]Here is a superb Weblog You may Find Interesting that we Encourage You[…]
best sex toys
[…]Every the moment inside a though we select blogs that we study. Listed below are the most current sites that we select […]
OLX FARMING EQUIPMENT FOR SALE
[…]that may be the end of this post. Here you will uncover some internet sites that we believe you will appreciate, just click the links over[…]
shipping containers for sale
[…]here are some links to websites that we link to for the reason that we feel they are really worth visiting[…]
ارقام بنات
[…]Wonderful story, reckoned we could combine several unrelated information, nonetheless really really worth taking a search, whoa did 1 learn about Mid East has got additional problerms as well […]
aromatherapy shop
[…]that would be the end of this article. Right here youll locate some websites that we consider youll appreciate, just click the links over[…]
izrada sajtova
Izrada web sajtova, mobilnih aplikacija, portala i internet prodavnica
lowes kronos server
[…]usually posts some very interesting stuff like this. If youre new to this site[…]
Buy Morphine 60mg online
[…]Here are a number of the internet sites we recommend for our visitors[…]
savage impulse hog hunter 300 win
[…]although websites we backlink to beneath are considerably not connected to ours, we feel they are basically worth a go by way of, so have a look[…]
mossberg 590 18.5 barrel
[…]Every when inside a whilst we decide on blogs that we study. Listed beneath are the most current web pages that we pick out […]
mcx for sale
[…]check below, are some totally unrelated internet websites to ours, having said that, they may be most trustworthy sources that we use[…]
walther ccp m2 9mm
[…]please visit the web pages we follow, like this a single, because it represents our picks through the web[…]
emerge vartan bonded leather gaming chair
[…]Here are several of the web sites we advocate for our visitors[…]
mossberg 500a for sale
[…]the time to read or stop by the content or sites we’ve linked to below the[…]
buy sodium pentobarbital
[…]please take a look at the web sites we comply with, including this one particular, because it represents our picks through the web[…]
magic mushrooms
[…]we prefer to honor lots of other online sites on the net, even though they arent linked to us, by linking to them. Under are some webpages really worth checking out[…]
magic mushrooms
[…]the time to study or check out the material or websites we have linked to beneath the[…]
buy marijuana online
[…]we came across a cool web page that you simply could delight in. Take a look should you want[…]
background check
[…]here are some hyperlinks to sites that we link to simply because we assume they are really worth visiting[…]
brazilian rainbow boa for sale
[…]we like to honor numerous other net web pages around the web, even when they arent linked to us, by linking to them. Beneath are some webpages really worth checking out[…]
beretta 92 compact
[…]always a huge fan of linking to bloggers that I really like but dont get a whole lot of link enjoy from[…]
smith and wesson ar 12
[…]one of our visitors recently suggested the following website[…]
buy weed online New Jersey
[…]The facts talked about inside the write-up are a number of the ideal accessible […]
ethereum mining machine for sale in australia
[…]below youll obtain the link to some internet sites that we think you need to visit[…]
Capuchin Monkey For Sale
[…]although internet sites we backlink to below are considerably not connected to ours, we really feel they’re basically worth a go through, so have a look[…]
2 Day Murchison Falls Safari
[…]Here is an excellent Blog You might Find Interesting that we Encourage You[…]
3080 graphic cards for sale
[…]check beneath, are some absolutely unrelated websites to ours, even so, they are most trustworthy sources that we use[…]
best dumbells
[…]here are some hyperlinks to web sites that we link to simply because we consider they are worth visiting[…]
Vertise
[…]Every as soon as inside a even though we opt for blogs that we study. Listed below are the most current websites that we decide on […]
G17 GEN 4 MOS STANDARD | 9X19MM
[…]one of our guests not too long ago suggested the following website[…]
Volquartsen UltraLite
[…]although websites we backlink to below are considerably not associated to ours, we feel they are actually really worth a go through, so have a look[…]
stock investment
[…]usually posts some really interesting stuff like this. If you are new to this site[…]
buy ritalin online
[…]usually posts some extremely interesting stuff like this. If you are new to this site[…]
RissMiner
[…]very couple of websites that take place to become comprehensive beneath, from our point of view are undoubtedly effectively worth checking out[…]
Brentwood Preparatory School
[…]although websites we backlink to beneath are considerably not associated to ours, we feel they’re essentially worth a go by means of, so have a look[…]
Buy sig sauer guns in Europe
[…]that would be the finish of this post. Here you will find some websites that we believe youll value, just click the links over[…]
dizziness
[…]please go to the sites we adhere to, such as this a single, as it represents our picks through the web[…]
bitcoin
[…]below youll find the link to some websites that we consider you need to visit[…]
shipping goods to kenya
[…]one of our visitors lately encouraged the following website[…]
Tours to Uganda
[…]check beneath, are some totally unrelated internet websites to ours, even so, they are most trustworthy sources that we use[…]
Kenya safari
[…]very few web-sites that occur to be detailed below, from our point of view are undoubtedly properly worth checking out[…]
buy beretta guns online
[…]Sites of interest we’ve a link to[…]
raw garden cartridges
[…]Here is a great Weblog You may Find Interesting that we Encourage You[…]
sig sauer pistols
[…]usually posts some extremely exciting stuff like this. If youre new to this site[…]
agzimi sikin benim
[…]Here is an excellent Blog You may Obtain Interesting that we Encourage You[…]
stroker toy
[…]Every once in a whilst we choose blogs that we study. Listed below would be the latest web pages that we choose […]
masturbators
[…]one of our guests just lately suggested the following website[…]
BUY MAGIC MUSHROOM FOR SALE
[…]here are some hyperlinks to web-sites that we link to due to the fact we assume they’re really worth visiting[…]
uberti.45 long colt
[…]we came across a cool web page that you just could love. Take a appear in case you want[…]
Tudor Black Bay 58
[…]we came across a cool web page that you just could enjoy. Take a search should you want[…]
black mamba 24 strain glo cart
[…]check beneath, are some absolutely unrelated web sites to ours, on the other hand, they are most trustworthy sources that we use[…]
visit here
[…]that is the finish of this report. Here youll find some web-sites that we think youll value, just click the links over[…]
buy raw garden cartridges online
[…]usually posts some incredibly interesting stuff like this. If youre new to this site[…]
MURANG’A UNIVERSITY
[…]please check out the web pages we comply with, including this one particular, because it represents our picks through the web[…]
happyLuke
[…]although internet sites we backlink to below are considerably not associated to ours, we feel they’re essentially worth a go through, so have a look[…]
how to clean black money with vitamin c
[…]check beneath, are some absolutely unrelated internet sites to ours, however, they are most trustworthy sources that we use[…]
juil pods near me
[…]always a big fan of linking to bloggers that I love but really don’t get a whole lot of link like from[…]
best testosterone booster
[…]Every when in a while we choose blogs that we read. Listed beneath would be the most up-to-date websites that we choose […]
Najam vozila Crna Gora
[…]although internet sites we backlink to below are considerably not connected to ours, we really feel they’re basically really worth a go through, so possess a look[…]
Buy Alza Concerta Online
[…]The info mentioned within the write-up are several of the most effective out there […]
sapphire-nitro-radeon-rx-6800-xt-16-gb-for-sale
[…]please take a look at the websites we adhere to, including this one particular, as it represents our picks from the web[…]
CableFreeTV Tech News
[…]below you will discover the link to some web pages that we consider you’ll want to visit[…]
Gorilla Trekking Bwindi Impenetrable forest
[…]although internet websites we backlink to below are considerably not related to ours, we feel they’re basically really worth a go by means of, so possess a look[…]
The NMD News
[…]that will be the end of this post. Here you will discover some internet sites that we feel you will enjoy, just click the links over[…]
cryptocurrency virtual card
[…]Sites of interest we have a link to[…]
russian first names
[…]Here is a superb Weblog You might Discover Intriguing that we Encourage You[…]
kush carts
[…]we came across a cool web site which you may enjoy. Take a search in case you want[…]
buy high quality counterfeit money online
[…]just beneath, are various entirely not associated internet sites to ours, on the other hand, they are certainly worth going over[…]
affiliate marketing millionaire
[…]The information mentioned in the article are a few of the ideal offered […]
buy ruger guns online
[…]usually posts some really intriguing stuff like this. If youre new to this site[…]
e-cigs for sale in usa
[…]Here is a good Blog You may Locate Fascinating that we Encourage You[…]
portable power stations for camping
[…]below youll discover the link to some web sites that we believe you need to visit[…]
solar panels price
[…]always a major fan of linking to bloggers that I enjoy but really don’t get a great deal of link enjoy from[…]
Presidency Junior CollegeIsukathota, Visakhapatnam Urban, Visakhpatnam (M. Corp)-7
[…]we came across a cool web-site that you might get pleasure from. Take a appear when you want[…]
Motherhood University
[…]Here is a great Weblog You may Come across Intriguing that we Encourage You[…]
the brave little toaster
[…]check below, are some totally unrelated internet sites to ours, nevertheless, they are most trustworthy sources that we use[…]
Spore Syringe
[…]although internet websites we backlink to below are considerably not connected to ours, we feel they are actually worth a go by means of, so possess a look[…]
browning buckmark contour manual
[…]always a significant fan of linking to bloggers that I like but dont get lots of link love from[…]
Daily CBD — The Leading Cannabinoid Educational Resource
[…]check below, are some absolutely unrelated internet websites to ours, having said that, they’re most trustworthy sources that we use[…]
beretta pico for sale
[…]please pay a visit to the web-sites we follow, which includes this a single, as it represents our picks from the web[…]
Uganda Safari tours
[…]just beneath, are various totally not related web-sites to ours, on the other hand, they are surely really worth going over[…]
gbl lab shop
[…]check beneath, are some absolutely unrelated web-sites to ours, however, they’re most trustworthy sources that we use[…]
disposable ecigs
[…]one of our visitors not long ago proposed the following website[…]
kimber firearms
[…]here are some links to web-sites that we link to for the reason that we assume they’re really worth visiting[…]
e-cigarettes for sale
[…]Here are a few of the sites we recommend for our visitors[…]
Cannabis Oil
[…]we like to honor lots of other net web-sites on the web, even when they arent linked to us, by linking to them. Below are some webpages really worth checking out[…]
call girls
[…]we came across a cool site which you may get pleasure from. Take a appear for those who want[…]
barrett gun store
[…]one of our visitors not long ago advised the following website[…]
sx4 for sale winchester
[…]check below, are some totally unrelated sites to ours, nevertheless, they are most trustworthy sources that we use[…]
sig sauer p226 legion
[…]we like to honor quite a few other online web pages on the internet, even when they arent linked to us, by linking to them. Underneath are some webpages worth checking out[…]
best stiiizy pod
[…]check beneath, are some absolutely unrelated websites to ours, however, they’re most trustworthy sources that we use[…]
2cb powder
[…]very couple of internet websites that occur to be detailed below, from our point of view are undoubtedly nicely really worth checking out[…]
stiiizy battery
[…]that will be the end of this write-up. Right here youll discover some web-sites that we believe you will appreciate, just click the hyperlinks over[…]
restaurant takeout food
[…]we prefer to honor lots of other web sites on the internet, even if they arent linked to us, by linking to them. Underneath are some webpages worth checking out[…]
aa12 shotgun for sale
[…]Wonderful story, reckoned we could combine several unrelated information, nevertheless truly worth taking a appear, whoa did one particular study about Mid East has got far more problerms too […]
download mp3
[…]below you will uncover the link to some web pages that we feel you should visit[…]
buy psychedelics online
[…]usually posts some really interesting stuff like this. If youre new to this site[…]
buy gbl online europe
[…]just beneath, are a lot of completely not connected web pages to ours, even so, they may be certainly worth going over[…]
Gamma-butyrolactone
[…]always a significant fan of linking to bloggers that I adore but do not get a great deal of link enjoy from[…]
Xanax pills for sale
[…]Sites of interest we’ve a link to[…]
Ayahuasca For Sale
[…]here are some hyperlinks to internet sites that we link to mainly because we think they may be worth visiting[…]
Cohiba
[…]check beneath, are some totally unrelated web-sites to ours, on the other hand, they may be most trustworthy sources that we use[…]
Website development
[…]please visit the web sites we comply with, such as this one, because it represents our picks in the web[…]
buy uk driving license
[…]Sites of interest we have a link to[…]
g spot massager
[…]please visit the websites we adhere to, like this one, as it represents our picks through the web[…]
clit vibrators
[…]that will be the finish of this article. Right here youll uncover some web sites that we think youll appreciate, just click the hyperlinks over[…]
anal sex
[…]Here is a superb Weblog You may Uncover Interesting that we Encourage You[…]
buy real driving license uk
[…]that would be the finish of this report. Here youll obtain some internet sites that we believe you will appreciate, just click the hyperlinks over[…]
kenya education
[…]that could be the finish of this report. Right here you will locate some web sites that we feel youll appreciate, just click the links over[…]
divorce lawyers
[…]Every as soon as in a though we pick out blogs that we read. Listed below are the most current web-sites that we choose […]
HELIX 1 MG ALPRAZOLAM
[…]one of our visitors recently advised the following website[…]
best clit vibrator
[…]we came across a cool web site which you might get pleasure from. Take a look in the event you want[…]
best sex toys in canada
[…]Here is a superb Weblog You might Obtain Interesting that we Encourage You[…]
sex toys for clit
[…]Here is a great Weblog You may Come across Intriguing that we Encourage You[…]
keltec 22 rifle
[…]Sites of interest we have a link to[…]
invicta hydromax watch
[…]although internet websites we backlink to below are considerably not connected to ours, we feel they are actually worth a go by means of, so have a look[…]
beretta 1301 tactical gen 2
[…]The details mentioned within the report are several of the top out there […]
mossberg 930 spx sale
[…]please take a look at the web-sites we comply with, which includes this one, because it represents our picks in the web[…]
krt cart
[…]Wonderful story, reckoned we could combine some unrelated information, nevertheless truly really worth taking a appear, whoa did 1 find out about Mid East has got additional problerms also […]
krt vape cartridges
[…]usually posts some pretty intriguing stuff like this. If youre new to this site[…]
Buy Vyvanse 70mg online
[…]Wonderful story, reckoned we could combine several unrelated information, nevertheless genuinely worth taking a appear, whoa did 1 learn about Mid East has got more problerms as well […]
Hi-Point carbine for sale
[…]check beneath, are some totally unrelated websites to ours, nevertheless, they are most trustworthy sources that we use[…]
silent travel vibrators
[…]that may be the finish of this article. Right here you will obtain some internet sites that we feel youll value, just click the hyperlinks over[…]
adult toys
[…]Wonderful story, reckoned we could combine a handful of unrelated data, nevertheless definitely really worth taking a look, whoa did one particular learn about Mid East has got far more problerms too […]
card to cryptocurrency exchange
[…]we came across a cool internet site which you could possibly appreciate. Take a search should you want[…]
adult sextoys
[…]the time to read or take a look at the content material or web pages we’ve linked to beneath the[…]
Bushmaster XM-15
[…]we came across a cool web-site which you may delight in. Take a search if you want[…]
Virtual credit card buy with bitcoin
[…]usually posts some incredibly intriguing stuff like this. If youre new to this site[…]
scrap car removal
[…]very few web sites that transpire to become comprehensive below, from our point of view are undoubtedly properly worth checking out[…]
mortgage interest rates
[…]here are some links to web-sites that we link to since we assume they are worth visiting[…]
sellier & bellot primers
[…]that would be the finish of this article. Here you will uncover some internet sites that we think you will appreciate, just click the links over[…]
Godfather Og strain
[…]Wonderful story, reckoned we could combine a number of unrelated information, nevertheless definitely really worth taking a search, whoa did one particular learn about Mid East has got a lot more problerms too […]
Herbal Incense
[…]here are some hyperlinks to internet sites that we link to because we consider they’re really worth visiting[…]
magic wand massager
[…]very couple of web sites that come about to be in depth beneath, from our point of view are undoubtedly nicely really worth checking out[…]
Magnum Research Desert Eagle for sale
[…]Wonderful story, reckoned we could combine a couple of unrelated data, nevertheless seriously worth taking a appear, whoa did a single find out about Mid East has got a lot more problerms also […]
disposable carts
[…]below youll obtain the link to some sites that we consider you’ll want to visit[…]
PS5 Digital Edition
[…]Here are several of the websites we advise for our visitors[…]
purple 380 pistol
[…]Here are several of the web-sites we suggest for our visitors[…]
prostate massage orgasm
[…]we prefer to honor many other web sites around the web, even though they arent linked to us, by linking to them. Below are some webpages really worth checking out[…]
kucukcekmece escort
[…]Here is a great Blog You may Find Exciting that we Encourage You[…]
duvel
[…]Every as soon as in a while we opt for blogs that we study. Listed below would be the most current websites that we decide on […]
download app apk for windows
[…]check beneath, are some completely unrelated sites to ours, even so, they’re most trustworthy sources that we use[…]
app for pc
[…]we prefer to honor quite a few other online sites around the net, even if they arent linked to us, by linking to them. Under are some webpages worth checking out[…]
app free download for windows 8
[…]we like to honor quite a few other online sites on the net, even though they arent linked to us, by linking to them. Underneath are some webpages really worth checking out[…]
games for pc download
[…]always a large fan of linking to bloggers that I enjoy but really don’t get a great deal of link adore from[…]
apps download for windows 10
[…]we came across a cool web-site that you could possibly love. Take a search in case you want[…]
free download for windows 10
[…]very handful of websites that transpire to be comprehensive beneath, from our point of view are undoubtedly very well really worth checking out[…]
MINE FULL TRADER
[…]very handful of internet websites that take place to be detailed beneath, from our point of view are undoubtedly effectively really worth checking out[…]
free download for windows 8
[…]Here is an excellent Blog You might Obtain Exciting that we Encourage You[…]
Colt Python For Sale
[…]although websites we backlink to below are considerably not connected to ours, we feel they are essentially worth a go through, so have a look[…]
Herbal incense near me
[…]we came across a cool internet site that you may well enjoy. Take a search if you want[…]
realistic stroker
[…]check below, are some completely unrelated web sites to ours, having said that, they are most trustworthy sources that we use[…]
Google
[…]always a massive fan of linking to bloggers that I love but really don’t get a good deal of link enjoy from[…]
Meru University research projects
[…]Here are a number of the sites we suggest for our visitors[…]
buy androxal australia pharmacy
cheapest canada androxal mail order
buying enclomiphene france where to buy
enclomiphene with overnight fedex
comprar rifaximin sin receta medica
i want a rifaximin prescription
buy cheap xifaxan buy germany
online order xifaxan purchase generic
how to order staxyn generic now
how to order staxyn australia generic online
buy avodart without prescriptions canada
buy cheap avodart cheap alternatives
order dutasteride overnight cod
dutasteride without rx
cheap flexeril cyclobenzaprine generic for sale
order flexeril cyclobenzaprine generic lowest price
comprar gabapentin generica
buying gabapentin generic south africa
kamagra comparer les prix
endroit le moins cher pour acheter en ligne kamagra
order fildena buy singapore
how to buy fildena generic is it legal
buy cheap itraconazole uk suppliers
buy itraconazole low price
obecná kanadská lékárna kamagra online
kamagra konzultovat s lékařem